甲状腺结节
专家介绍

潘钢:科室副主任,副主任医师,对乳腺、甲状腺微创治疗,胃肠、肝胆专业疾病诊治具有丰富的临床经验。
诊断流程
1. 触诊检查医生通过颈部触诊评估结节硬度、活动度
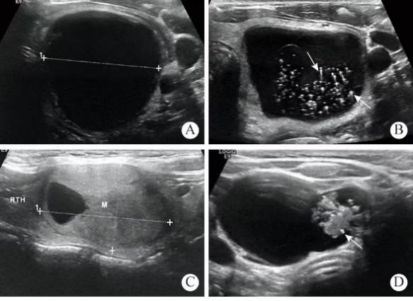
2. 超声检查(首选)
o 测量结节大小(>1cm需重点关注)
l评估TI-RADS分级:▫ 2类(良性,恶性风险<2%)▫ 4类(可疑恶性,风险5-80%)▫ 5类(高度恶性可能,风险>80%)
3. 实验室检查
o 甲状腺功能(TSH、FT3、FT4)
o 降钙素(排查髓样癌)
o 甲状腺球蛋白(术后监测指标)
4. 细针穿刺活检(FNAB)适用于TI-RADS 4类以上或>1.5cm结节,诊断准确率>95%
特色技术
l良性结节处理
1. 观察随访
o 无症状且<1cm结节:每6-12个月超声复查
o 年增长率<3mm可继续观察
2. 药物治疗
o 左旋甲状腺素(TSH抑制疗法)
o 碘剂治疗(仅限缺碘性结节)
3. 介入治疗
o 射频消融术(适用于3-4cm实性结节)
o 无水乙醇注射(囊性结节有效率>80%)
4. 手术指征
o 结节>2cm或出现压迫症状
o 胸骨后甲状腺肿
o 合并甲亢药物治疗无效
l恶性结节处理
1. 手术切除
o 半切术(单侧微小癌)
o 全切术(肿瘤>4cm或多灶性)
2. 术后管理
o 碘131治疗(清除残余甲状腺组织)
o 终身甲状腺激素替代治疗

甲状腺结节细针穿刺活检术

甲状腺结节超声
就诊地址:门诊楼2楼 乳腺与甲状腺外科诊室