新技术新突破 气道介入显神通
——区人民医院开展气道介入技术帮助癌症晚期患者改善生活质量
近日,涪陵区人民医院呼吸与危重症医学科医护人员开展喉罩置入下经气管镜下冻切、冻融手术,为无手术机会的晚期肺癌患者解决了气道梗阻问题,改善了患者呼吸急促症状,畅通了呼吸,提升了患者的生活质量。
该患者罹患晚期肺癌,此次因发热伴呼吸急促入住区人民医院呼吸与危重症医学科。患者入院后,主要症状为呼吸急促,稍活动即感气喘,日常生活(穿衣、吃饭等)能力受限,胸部CT提示左肺下叶肿块,结合临床符合肺癌伴周围阻塞性炎症的特点,考虑肿瘤新生物堵塞管腔致呼吸急促,发热与阻塞性肺炎有关。经医生全身评估后,明确患者已无手术机会,其本人及家属均拒绝接受放化疗及免疫治疗。


术前胸部CT评估
科主任周雨结合患者病史、相关检查及家属意愿,立即组织科内人员讨论,制定手术方案,完善术前准备,与患者及家属沟通后,拟行喉罩置入下经气管镜下冻切、冻融手术。
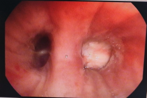
患者被送入支气管镜室。气管镜下,医生见新生物堵塞管腔,遂经支气管镜下行冻切、冻融手术。术后管腔开通可见大量的脓液溢出,予以生理盐水反复灌洗,患者呼吸急促症状迅速改善、体温也得到控制,病情逐渐好转直至出院。


术中检查及治疗前


手术治疗后
近年来随着国内外微创诊疗技术的飞速发展,经气管镜下冻切、冻融手术也在不断发展,该技术已成为我院呼吸与危重症医学科诊治的重要手段,使我院对该类疾病的诊治水平大大提高,介入诊疗工作迈上了一个新台阶。
该手术是利用低温直接作用于病变组织,使细胞内的水结晶成冰,细胞停止分裂并溶解,血流停止,形成微血栓。缺血性损伤在冷冻治疗后的几天内,可导致细胞坏死或凋亡,并产生延迟效应和冷冻免疫反应,从而杀灭清除局部病变组织的一种物理治疗方式。冷冻技术分为冻切、冻融、冻检、冻取异物等4个常用技术。
该技术适用于恶性病变切除、异物取出、增生肉芽组织清除、管腔内的止血和血栓的取出等,既避免管径较粗的气管导管插入而致患者产生强烈不适,又减少因麻醉插管引起的相关并发症,具有微创、安全、有效、方便、痛苦小、花费少等优点,且并发症极少,容易被患者所接受。
涪陵区人民医院呼吸与危重症医学科,开放床位50余张。有医护人员26人,其中医生10人(高级职称2人、中级职称5人)。科室拥有全新进口耶格肺功能、潘太克斯电子支气管镜、飞利浦伟康V60无创呼吸机、进口血气分析仪等先进设备,目前已开展胸腔穿刺术、胸腔闭式引流术、无创机械辅助通气、支气管镜检查及治疗、气管插管术、有创呼吸机机械辅助通气、深静脉置管术、CT引导下经皮肺穿刺活检、支气管动脉栓塞术、经支气管镜异物取出术、气道介入术(经支气管镜球囊扩张、冻融、冻切等)、肺恶性肿瘤的规范化治疗等诊疗项目。
就诊地址:涪陵区人民医院A区(黎明路)门诊综合楼2楼
住院地址:涪陵区人民医院A区(黎明路)住院综合大楼15楼
联系电话:023-72866094