重庆市涪陵区人民医院
成功开展冠脉造影术
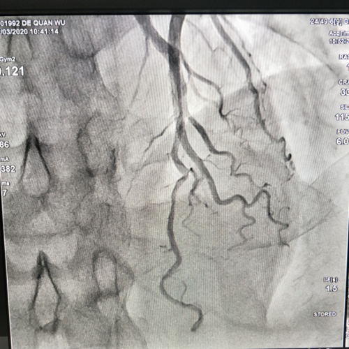
冠状动脉造影是诊断冠心病的金标准,冠状动脉介入治疗是目前内科治疗冠心病最有效的手段之一。

2020年3月12日上午,经过前期充分准备,涪陵区人民医院心血管内科副主任许宝安主治医师团队,成功为两例住院病人进行了冠状动脉造影检查,术后患者情况良好。冠心病心血管介入诊疗技术在医院首次开展,此次手术的成功,得力于院领导、各职能科室、医技科室的大力支持和心血管内科全体医务人员共同努力,标志着医院心血管内科整体水平迈上一个新的台阶。


相关手术案例
心血管内科两名患者因反复心悸、胸闷不适入院,初步诊断为“冠心病”需做冠状动脉造影检查,经科内充分讨论,与患者及家属完善术前沟通,风险告知后进行冠脉造影检查,手术过程顺利,其中一名患者前降支中远段狭窄50-60%。
为了健康,我们要更专业,医院将不断寻求突破与发展,为广大群众提供更优质、更高端的医疗服务,务实打造一所医术精湛、人民满意的医院。
链接:
1.目前医院心血管内科共有医师8人,其中副主任医师1人、主治医师5人、住院医师2人;科室医护人员多次于新桥医院、重医附一院及西南医院进修学习,并有多人获得研究生学位及国家及规范化培训毕业证书;科室参与国家级医疗安全抽样调查研究一项;在国家级、省部级医学期刊上发表文章十余篇,被评为“文明”科室及“区级重点特色专科”。
2.数字减影血管造影是一种可以看见实时纯血管清晰图像的诊疗技术,现已被广泛引用于呼吸、消化、肿瘤、神经、泌尿生殖及骨骼系统等诊断,冠状动脉的病变诊断和其他疾病的诊断及介入治疗,可以清晰的显示各种动脉瘤、动脉狭窄、闭塞、动静脉畸形等。