您能想象吗?羽毛艳丽能模仿人说话、样貌十分可爱的小鹦鹉也能给人类传播致命病原菌。近日,涪陵区人民医院呼吸与危重医学科就收治了这样一例病例,在医务人员的及时救治下,患者转危为安,最终痊愈出院,患者十分满意,特写感谢信向呼吸与危重症医学科主任及全体医务人员表示谢意。

患者是一位老年男性,65岁,因“发作性头昏痛”于2024年4月5日入住涪陵区人民医院神经内科,入院后完善头颅MRI检查未见明显异常,但患者反复发热,血气分析提示I型呼吸衰竭,胸部CT提示双肺散在斑片状、片状密度增高模糊影,部分肺组织实变,其内可见支气管充气征,以右肺为甚,伴双侧胸腔少量积液。考虑患者肺部感染重且伴呼吸衰竭,经区人民医院呼吸与危重症医学科会诊后于4月7日转入该科。

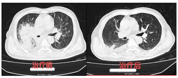
转科后,医生考虑患者系重症肺炎,予以抗感染、无创呼吸机辅助通气治疗,但患者咳嗽、发热及活动后气促症状无明显改善,随访血气分析提示氧合指数进行性下降,最低时氧合指数仅80左右。因患者病情危重,科室主任、副主任医师周雨在查房评估病情并与患者家属充分沟通后于4月8日行气管插管、有创呼吸机辅助通气治疗,复查胸部CT提示肺部炎症较前进展,胸腔积液也较前增多,遂立即行纤维支气管镜检查留取肺泡灌洗液送检mNGS,4月10日肺泡灌洗液mNGS结果提示:检测出鹦鹉热衣原体,序列数2078。科室立即调整为多西环素联合莫西沙星继续抗感染,继续有创呼吸机机械辅助通气,并辅以俯卧位通气、纤支镜床旁灌洗等治疗,患者体温逐渐控制,复查胸部CT提示肺部病变逐渐吸收,血气分析提示氧合指数逐渐上升至300左右,于4月19日顺利拔管、停用有创呼吸机,予以序贯脱机治疗。4月29日复查胸部CT提示右肺病变明显吸收,胸腔积液减少,患者在不吸氧情况下已能自理生活,无明显活动后的气促表现。患者于4月30办理出院并口服抗感染药物以继续治疗。患者及其家属对该科的治疗效果非常满意,特亲笔书写感谢信对科室主任周雨及全科医务人员表达最诚挚的谢意。

该病例是我院诊断的第一例鹦鹉热衣原体重症肺炎,该疾病是一类人畜共患病,临床表现复杂多变且不典型,常导致多系统损害,由于缺乏特异性检测手段,故其很难被发现,极易误诊,且病情进展快,死亡率高,但近年来随着分子诊断技术的应用,鹦鹉热衣原体的检出率不断增高,越来越引起临床的关注(但目前主要集中在病例报道)。精准、及时有效的治疗是患者转危为安最重要的依托。尽管对于大多数肺炎患者而言,在24小时内采用经验性治疗可改善患者预后,但对于特殊菌类感染,早期精准识别病原体,对于患者预后及抑制耐药至关重要。后疫情时代,社区获得性肺炎病原菌感染日益复杂,尽快明确病原学诊断对于重症肺炎的诊治有重要的意义。先进的诊治手段,mNGS(病原微生物检测)应用指导下的精准治疗可以提高治疗效果,减少医疗花费以及改善患者预后,值得临床大力推广。

涪陵区人民医院呼吸与危重症医学科目前有开放床位53张,医护人员29人(医生11人),其中医生高级职称3人、中级职称4人。科室拥有耶格肺功能、潘太克斯电子支气管镜、飞利浦伟康V60无创呼吸机、Drager有创呼吸机、进口血气分析仪等设备。科室主要开展慢性呼吸衰竭、肺部感染、慢阻肺、胸腔积液、肺部肿瘤包块、间质性肺病、气道吸入性异物、肺栓塞等疾病诊治,能开展无创机械辅助通气、支气管镜检查及部分气道介入治疗、气管插管术、微创气管切开术、有创呼吸机机械辅助通气、CT引导下经皮肺穿刺活检、肺恶性肿瘤化疗,靶向治疗及免疫治疗等诊疗项目。